Have you ever wondered how celebrities get such perfectly bright smiles? While genetics and great care play a part, many of those flawless grins are thanks to a common cosmetic dentistry procedure called dental veneers. You might have heard of them, but how do they actually work?
This guide will walk you through the entire process, from your first dentist visit to your final smile reveal. Understanding how veneers work can help you decide if they are the right choice for you.

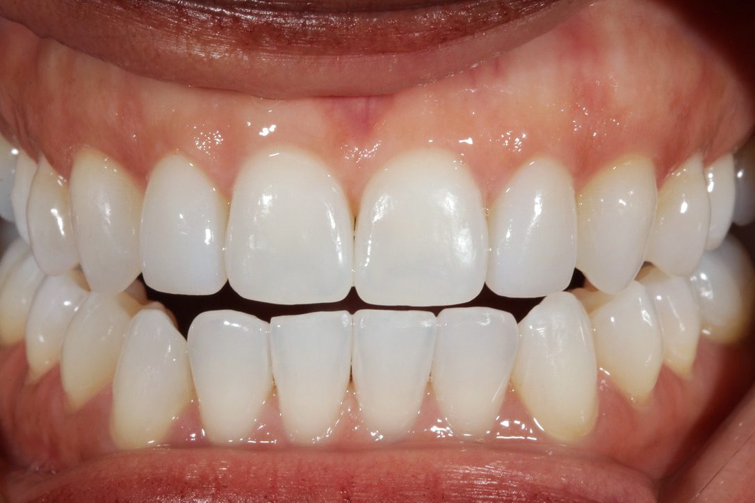
What Are Dental Veneers, Exactly?
Imagine a veneer as a very strong, custom-made shell for your tooth. It’s incredibly thin, often about as thick as a contact lens. This shell covers only the front surface of a tooth to change its color, shape, size, or length.
Veneers are most often made from porcelain, which looks very natural and resists stains. A composite resin material is also effective but may not last as long.
Why Do People Choose Veneers?
People choose veneers for many reasons. They are a popular solution for fixing teeth that are severely stained and don’t respond to whitening treatments. They can also repair teeth that are worn down, chipped, or broken. Veneers can create a more uniform appearance without the need for braces for teeth that are misaligned, uneven, or have awkward gaps between them.
The Step-by-Step Veneer Process
The journey to getting veneers is typically two visits to the dentist’s office over several weeks.
It all starts with a conversation. During your first consultation, you’ll talk with Dr. Trinkner about what you hope to get. He’ll examine your teeth to make sure they’re healthy enough for veneers and might take X-rays. This planning stage is important so you get the best result.
The next step is to prepare the teeth. To make room for the veneer, Dr. Trinkner will gently remove a very thin layer of enamel from the front of your tooth. This is important because it prevents the veneer from feeling bulky once he places it. You’ll be given local anesthesia if needed so you won’t feel any pain during this part.
After the teeth are prepared, Dr. Trinkner will take a detailed impression, or mold, of your mouth. This mold is sent to a dental lab where skilled technicians will craft your permanent, custom veneers. This can take a couple of weeks. In the meantime, you might wear temporary veneers.
The final and most exciting step is the bonding appointment. When your permanent veneers are ready, you’ll return to Dr. Trinkner. They will temporarily place the veneer on your tooth with water or paste to check the fit and color, making sure everything looks perfect.
Next, your tooth will be cleaned and treated with a special gel that roughens the surface. This helps create a strong bond. Dr. Trinkner then uses a powerful dental cement to attach the veneer to your tooth.
A special blue light is shone on the veneer to harden the cement quickly and permanently. Once all the veneers are bonded, Dr. Trinkner will make any final adjustments to your bite, and your new smile is complete.
Caring for Your New Smile
Veneers are strong, but they need proper care to last a long time. Porcelain veneers can often last between ten and fifteen years or even longer with good care. Good care means brushing and flossing every day just like you would with your natural teeth. It’s also wise to avoid using your teeth as tools to open packages or bite your fingernails.
If you grind or clench your teeth at night, Dr. Trinkner will likely recommend a night guard to protect your investment. Regular check-ups will help your dentist ensure your veneers and your natural teeth underneath stay in great shape.
Making the Decision
Getting veneers is a decision that changes your smile for many years. It’s important to have realistic expectations and to choose an experienced cosmetic dentist you trust. The best way to start is by having a conversation with Dr. Trinkner. A consultation will give you all the information you need about the process, and whether veneers are the best path for you. Give our Columbia dental care team a call today at 803-400-8729 today.
